This describes a Mira customer’s personal experience and/or was sourced from a review or interview. Mira cannot guarantee the same results for everyone. Results will depend on each individual’s health conditions. Mira is not intended to diagnose or treat any diseases. Please consult with your doctor.
A history of PCOS and years of being on hormonal birth control, Jenna B didn’t know if she would ever be able to have children and her doctor’s were inclined to agree. In fact, the doctors were so sure of her “status” that it took some convincing just to be seen by a fertility doctor - enter Mira!

Jenna’s story
I knew trying to conceive would be a challenge with my history of PCOS and being on birth control since High School. I’d tried taking myself off birth control several times, but each time ended the same way - no period and back on the pill. Frustrated and feeling like I was going to get the runaround from medical professionals, I was open to other solutions and saw Mira while scrolling Instagram.
I knew there might be ups and downs when I stopped taking birth control, especially since I’ve been on it since high school and have only had 5 natural periods in my life due to ovulation issues. Within a few weeks of testing with Mira though I was able to see why. Not only were my hormones all over the place, but they weren’t even leading toward natural ovulation. There was no guesswork, I had actual numbers to prove what I suspected all along.
Fertility clinics won’t even look at you if you haven’t been trying for a year without success, so I knew it would take some persuading to even get an appointment. I understand why the doctors couldn’t go off my hunches alone, but deep down I knew that I would need help to get pregnant and I would need to convince them too. The data I was able to show my doctors from just one month of testing with Mira was justification enough to be seen by a fertility clinic.
It’s one thing to have a gut feeling, but quite another to have evidence that supports your intuition. With Mira, I was able to show the doctors a pdf printout of my actual hormone concentration levels and save so much time in exploratory testing, not to mention waiting to get pregnant. Mira even helped the doctors make decisions about my care when I wasn’t in the office. At any time I could send them my hormone chart so they could plan accordingly.
Doctors repeatedly told me there was “nothing I could do” to increase my chances of ovulation and even though we were trying all the measures that work for most people, they just weren’t working for us. I required multiple rounds of medication and the clinic was monitoring me closely but being able to share my Mira numbers was a lifesaver. More than once, the clinic wanted to restart a cycle because I hadn’t ovulated but with the data from Mira I was able to identify a late LH surge and prevent an unnecessary intervention and natural period.
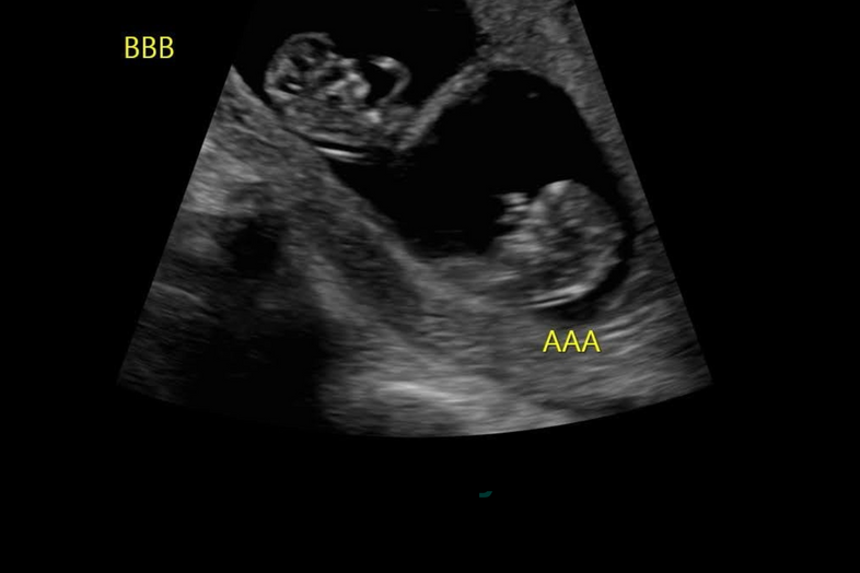
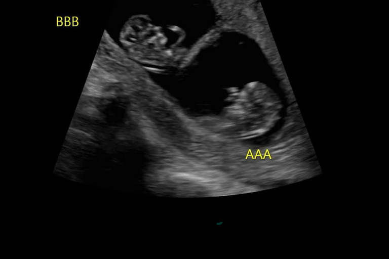
Having access to that data not only prevented unnecessary procedures, it streamlined the whole process. Ultimately we had 8 unsuccessful rounds of Cloimid + Letriozole before requiring IUI to conceive our twins. But I am one hundred percent certain that the process would have taken significantly longer without Mira and the data I was able to provide the clinic.
As anyone with PCOS knows, it can be a frustrating experience whether you are trying to get pregnant or not. But being of normal weight with no insulin resistance and still not ovulating despite medication - my frustration rose to a whole new level. I was grateful to have an idea of what was going on with my hormones because I was able to test with Mira. It made the frustration easier to deal with and helped me have a more cohesive and comprehensive experience. And during my TWW, I was even able to use Mira to watch my progesterone and estrogen rise in advance of receiving my BFP.
I truly believe my husband and I could never have gotten here without Mira. I recommend the product to anyone trying to conceive or looking to learn more about their hormones and cycle, especially if they have PCOS.
The peace of mind I felt from knowing when to try and when it was okay to take a break relieved a lot of baby-making pressure. The convenience of being able to test anywhere and see a number rather than guessing to interpret a line on a stick was the cherry on top. My Mira traveled everywhere I went throughout 2021 and I was able to test anywhere at any time.
Thank you Mira! We wouldn’t have been able to conceive our beautiful babies without you.