This describes a Mira customer’s personal experience and/or was sourced from a review or interview. Mira cannot guarantee the same results for everyone. Results will depend on each individual’s health conditions. Mira is not intended to diagnose or treat any diseases. Please consult with your doctor.
6 years ago, Octavia and her wife tried to have a baby and spent over $20,000, did 4 IUI’s, used several donors, had fertility treatments, and spent 16 months, never getting pregnant. Today 40-year-old Octavia is 8 weeks pregnant. Read on to learn more about Octavia’s trying to conceive story and how she got pregnant.
I have PCOS, struggled with irregular cycles, and was still 60 pounds overweight. My fertility doctor suggested I get healthier and lose 40 more pounds. I finally decided it was time to live healthier. It took me 3 years to lose 40 pounds of the weight and 3 more years to learn how to keep it off.
I went back to college during this time, learned how to heal my trauma, and also added Quantum Human Design into my life that has allowed me to get past my trauma and heal my soul. Plus, live my life the way I was meant to live. After that healing, I haven’t had a problem w/ my maintaining my weight and my cycles have been normal for 2 years.
In January I turned 40 and my wife and I decided to try once more. We used a Mira fertility tracker, a live donor, a mensural cup, and at-home insemination. Month 4, we got pregnant. I swear I didn’t think it was real. I took 14 pregnancy tests and still didn’t believe it.
We found out and got our BFP 10 days past ovulation and it has been the longest 5 weeks ever waiting to make it into my OBGYN to see if this baby was real!
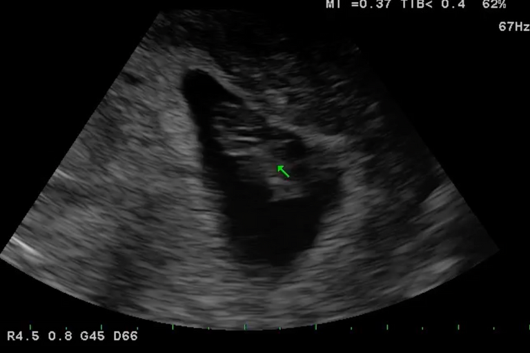
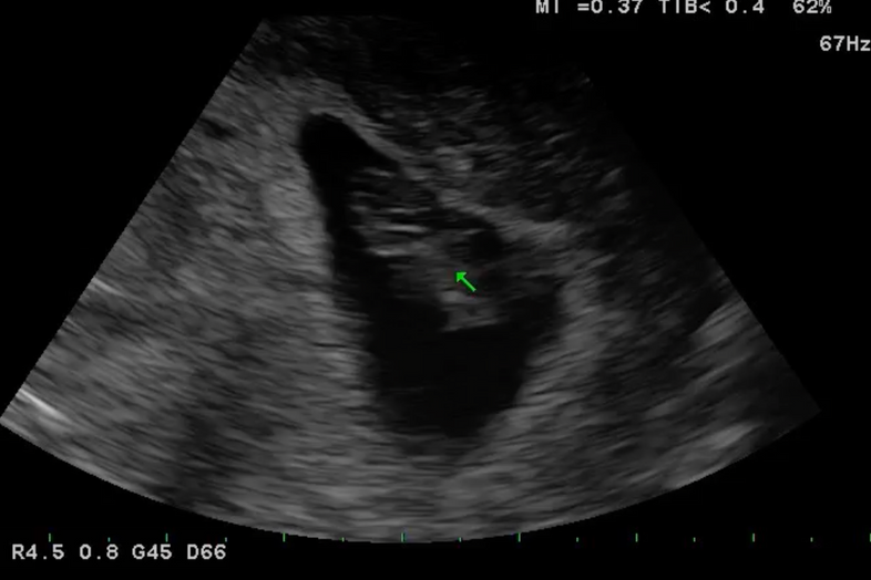
Today, I’m 8 weeks and my 8-week scan was perfect, perfect length, 180 bpm heart rate, and my ovaries and uterus are perfect.
At 40 and 185 lbs, I’m not a high-risk pregnancy, the baby is perfect and I just wanted to share with you all to never lose faith and never give up hope.
With PCOS since I was 21, irregular cycles since I was 19, never been pregnant, being overweight my whole life, being a lesbian, and being over 40, I thought there was no hope. I didn’t even believe this was a healthy pregnancy, but I was wrong. Taking care of myself, getting healthy, healing my trauma, heart and soul allowed me to experience this beautiful miracle.
Please take care of the body that will house your baby, get healthy and heal from your childhood! Your future baby and you deserve it. It’s possible. Don’t give up!
I have PCOS, struggled with irregular cycles, and was still 60 pounds overweight. My fertility doctor suggested I get healthier and lose 40 more pounds. I finally decided it was time to live healthier. It took me 3 years to lose 40 pounds of the weight and 3 more years to learn how to keep it off.
I went back to college during this time, learned how to heal my trauma, and also added Quantum Human Design into my life that has allowed me to get past my trauma and heal my soul. Plus, live my life the way I was meant to live. After that healing, I haven’t had a problem w/ my maintaining my weight and my cycles have been normal for 2 years.
In January I turned 40 and my wife and I decided to try once more. We used a Mira fertility tracker, a live donor, a mensural cup, and at-home insemination. Month 4, we got pregnant. I swear I didn’t think it was real. I took 14 pregnancy tests and still didn’t believe it.
We found out and got our BFP 10 days past ovulation and it has been the longest 5 weeks ever waiting to make it into my OBGYN to see if this baby was real!
Today, I’m 8 weeks and my 8-week scan was perfect, perfect length, 180 bpm heart rate, and my ovaries and uterus are perfect.
At 40 and 185 lbs, I’m not a high-risk pregnancy, the baby is perfect and I just wanted to share with you all to never lose faith and never give up hope.
With PCOS since I was 21, irregular cycles since I was 19, never been pregnant, being overweight my whole life, being a lesbian, and being over 40, I thought there was no hope. I didn’t even believe this was a healthy pregnancy, but I was wrong. Taking care of myself, getting healthy, healing my trauma, heart and soul allowed me to experience this beautiful miracle.
Please take care of the body that will house your baby, get healthy and heal from your childhood! Your future baby and you deserve it. It’s possible. Don’t give up!