Nickelle | Pregnant After 8 Years of Trying Nickelle | Pregnant After 8 Years of Trying

Share

5 minute read Updated on 4th June 2025

Nickelle | Pregnant After 8 Years of Trying

Medically reviewed by Katerina Shkodzik, MD, Ob&Gyn
This describes a Mira customer’s personal experience and/or was sourced from a review or interview. Mira cannot guarantee the same results for everyone. Results will depend on each individual’s health conditions. Mira is not intended to diagnose or treat any diseases. Please consult with your doctor. We love hearing from Mira customers who are using our technology to be equipped with knowledge that can help them on their fertility journeys!

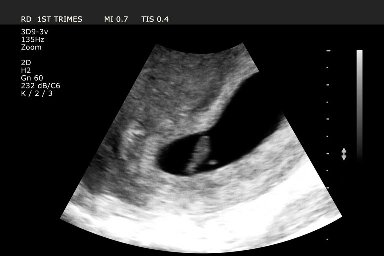
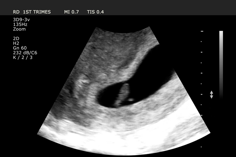
Got pregnant after 8 years of waiting

Celebrating 2020 means celebrating Mira babies in 2020! Congratulations to our customers! We are grateful to you for sharing your stories with us and the Mira community. They are inspiring and empowering. “My first cycle using Mira, after 8 years of waiting, I got pregnant. Currently 6 weeks 4 days. I got to hear the baby’s heartbeat a couple of days ago. Nice and strong. It was the most amazing sound I’ve ever heard. It feels surreal to have this happening after eight years. And I really liked that with Mira I was 100% sure when I was having my surge. No trying to discern if the line was dark enough to call it positive”. Nickelle

TTC after miscarriage

Skye Hitchcock posted about using Mira on her YouTube vlog with an update on her journey trying to conceive baby #3! “We are currently TTC after miscarriage. TTC with PCOS and TTC while nursing is confusing which is why I'm glad we have our Mira Fertility Tracker to take the guesswork out of it.”

Mira detects ovulation on the first cycle

Stories from Mira customers bring hope to our team and community, and inspire us to grow. Not all of them with the same happy end or immediate results. Every challenge makes us stronger, it’s a part of the journey. Thank you Diana for sharing your story of resilience, and how Mira has helped: “I am sharing this story because I hope it will give others who have been in my situation some hope! My husband and I have been TTC for 5 years and have undergone fertility treatments! We have been saving up for IVF as a last resort, and have been trying naturally in the meantime. I started using the Mira as soon as it arrived in November. In December, I got what I thought was a period, and a few days after that ended, I started testing with Mira again. I was surprised that it said high fertility right after my period ended. I decided to take a pregnancy test because something seemed different with my body. I have heard that ovulation tests can test detect hCG which in this case it did (I got some very high readings). For the first time in 5 years, I saw a positive! I couldn’t believe it!! My first cycle using Mira!! Unfortunately, I have since been told by my OBGYN that I am having a miscarriage. Although I am deeply hurting, I also feel joy because I FINALLY have HOPE now!! I know that Mira will help me ensure our timing is right!” Diana

The Mira hormone tracker makes all of these things so much simpler

Thank you Candace Ferris for your Mira Fertility Tracker video review and blog post! “During our ten-year journey to conceive, I did more research than I did in my academic career just trying to get pregnant! I learned about tracking ovulation and the importance of looking for signs that I am about to ovulate! For many couples, having a baby takes more than just “practice!” Conceiving a baby can become a daunting and discouraging task which brings disappointment month after month. I remember each month when Aunt Flo (AF) came, I was devastated. There were so many cycles when I just “knew” I was pregnant because I felt I had done everything right. When AF reared her ugly head, there were some months when I would just sit on the bathroom floor and cry! “This is so unfair, why can’t I just get pregnant?!” I would say to myself! Tracking ovulation, intercourse, cervical mucus, cervix position, and basal body temperature may all sound like a foreign language, but the Mira hormone tracker makes all of these things so much simpler! Even better, it takes the guesswork out of trying to figure out your fertile window. I did a review of the Mira Fertility Tracker on my YouTube channel and I was impressed with the futuristic look and sleek design! I absolutely love how it syncs to an app on your phone and keeps track of all of your data in an easy to understand format!”

Got pregnant with PCOS

There are many women with PCOS who use Mira to track their cycles. What sets Mira apart from other OPK's (Ovulation Predictor Kits) is that Mira gives your actual hormone concentrations! With Polycystic Ovarian Syndrome (PCOS), elevated Luteinizing hormone (LH) is usually common, which makes the ovulation predictor kit positive all the time. But with Mira, you can see your actual hormone levels and curve, and accurately see your ovulation -- even when your baseline LH is high. "I have PCOS and my first cycle using Mira I got pregnant! (Source: Reviews.io)

A positive pregnancy test after over two years of trying

We are thrilled and deeply happy for our customer, who sent us this message of success with Mira: “After over two years of trying, I just got a positive pregnancy test. I don’t want to tell anyone, other than my husband, but I have to thank you. This was our first cycle with Mira after trying different temperatures sensors and OPKs. You are a miracle. Thank you so much. Praying that the next few months go well, but this is the closest I’ve ever been to becoming a mother and it is thanks to Mira. Thank you thank you thank you.” B.J.

We want you to tell us your story with Mira!

Did you get pregnant or learn more about your cycle with Mira? Did Mira arm you with the knowledge you didn’t think you’d ever have, or de-mystify your fertility? We want to hear from you! Share your story on social media with hashtag #mirafertility or write us at contact@miracare.com! We love to publish customers’ reviews and be inspired by their stories!

Science helps you get

Get the real-time accuracy Mira has to offer and reach your fertility goals.